BV Hữu Nghị cấp cứu thành công ca dị vật phế quản nguy hiểm hiếm gặp
(PNTĐ) - Khoa Hô hấp - Dị ứng Bệnh viện Hữu Nghị vừa tiếp nhận và xử trí thành công một trường hợp dị vật phế quản cực kỳ hiếm gặp: Một dụng cụ nha khoa bằng kim loại, dài tới 2,5 cm, được nghi ngờ đã rơi vào đường thở của bệnh nhân trong quá trình làm răng Implant tại một phòng khám tư nhân.
Bệnh nhân là nam giới, 78 tuổi, nhập viện trong tình trạng ho kéo dài, ho tăng nhiều trong những ngày gần đây. Theo lời kể của người bệnh và người nhà, khoảng hai tuần trước, bệnh nhân có thực hiện thủ thuật đặt Implant.
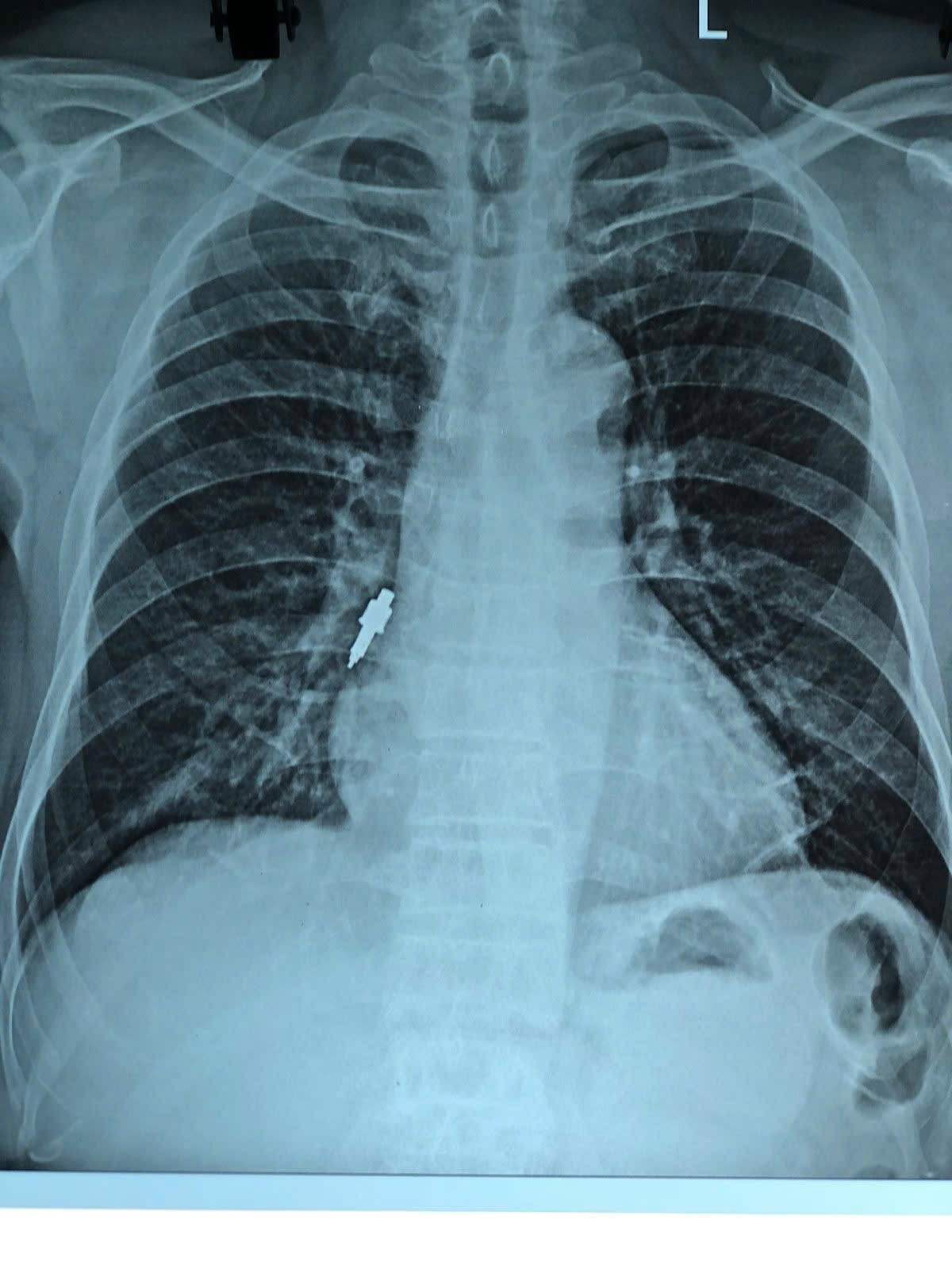
Trong quá trình thao tác, bác sĩ nha khoa thông báo có đánh mất một dụng cụ nhưng không xác định được vị trí. Sau đó, bệnh nhân xuất hiện ho nhẹ kéo dài. Đến hôm trước, cơn ho tăng dữ dội khiến gia đình phải đưa đi khám và chụp X-quang. Kết quả cho thấy một dị vật nằm gọn trong phế quản phải, và bệnh nhân được chuyển gấp đến Bệnh viện Hữu Nghị.

Tại bệnh viện, bệnh nhân được chỉ định nội soi phế quản cấp cứu. Quá trình lấy dị vật gặp nhiều thách thức lớn: dị vật bằng inox, trơn, kích thước "khủng" với đường kính chỗ to nhất lên đến 1 cm và dài 2,5 cm, lại mắc sâu và chặt vào phế quản phải. Loại dị vật này không thể gắp được bằng kìm sinh thiết thông thường.
Nhằm đảm bảo an toàn tối đa, kíp thủ thuật đã phối hợp thao tác cẩn trọng, hạn chế tối đa nguy cơ chảy máu, rách phế quản hoặc đẩy dị vật sâu hơn. Sau nhiều nỗ lực, ê-kíp đã gắp thành công dị vật ra ngoài nguyên vẹn và tiến hành bơm rửa sạch mủ, cặn máu trong lòng đường thở. Nhờ được can thiệp kịp thời, người bệnh hiện tỉnh táo, hô hấp ổn định, giảm ho rõ rệt và đang được theo dõi tại Khoa Hô hấp - Dị ứng.
Theo TS. BS Nguyễn Tiến Dũng - Trưởng khoa Hô hấp Dị ứng, nếu không được phát hiện sớm, dị vật kích thước lớn như vậy có thể gây ra nhiều biến chứng nguy hiểm: tắc nghẽn đường thở, viêm phổi, áp-xe phổi, thậm chí suy hô hấp đe dọa tính mạng. Bác sĩ Dũng chia sẻ thêm, mặc dù khoa vẫn thường xuyên tiếp nhận các trường hợp dị vật phế quản như hạt lạc, xương cá, nhưng dị vật là dụng cụ nha khoa kim loại là tình huống hiếm gặp, nguy cơ cao và đòi hỏi sự phối hợp nhanh chóng.
TS. BS Nguyễn Tiến Dũng khuyến cáo: Khi làm thủ thuật răng - hàm - mặt, đặc biệt là Implant, bác sĩ nên sử dụng bảo hộ đường thở (gạc chắn, dụng cụ ngăn rơi). Sau thủ thuật, nếu người bệnh xuất hiện ho kéo dài, khó chịu vùng ngực, cảm giác vướng, cần đi khám ngay, tránh bỏ sót dị vật.
Ca bệnh một lần nữa khẳng định năng lực xử trí các tình huống cấp cứu đường thở phức tạp của đội ngũ bác sĩ Bệnh viện Hữu Nghị, đồng thời nhấn mạnh tầm quan trọng của việc lựa chọn cơ sở nha khoa uy tín và phát hiện dị vật kịp thời.













