BV Hữu Nghị cứu sống người bệnh phình động mạch chủ và ung thư cùng lúc
(PNTĐ) - Bệnh viện Hữu Nghị vừa thực hiện thành công ca phẫu thuật cấp cứu phức tạp và hiếm gặp, xử lý đồng thời hai bệnh lý nguy hiểm: Phình động mạch chủ bụng rất lớn dọa vỡ và ung thư đại trực tràng, mở ra hy vọng sống cho một bệnh nhân cao tuổi.
Bệnh nhân là ông Dương Văn B (81 tuổi, trú tại Hoàng Mai, Hà Nội), nhập viện trong tình trạng đau bụng dữ dội quanh rốn và vùng hạ vị. Bệnh nhân có tiền sử tăng huyết áp, đái tháo đường và đã từng được chỉ định can thiệp Phình động mạch chủ bụng (AAA) trước đó nhưng chưa đồng ý.

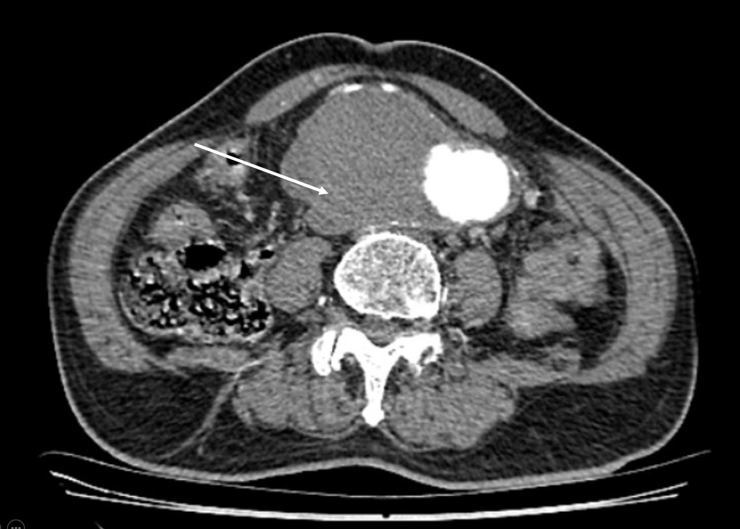
Qua thăm khám, các bác sĩ phát hiện một khối bất thường chiếm gần nửa bụng bên phải, có dấu hiệu đập theo nhịp tim. Kết quả chụp cắt lớp vi tính (CLVT) đưa ra một chẩn đoán kép cực kỳ nguy hiểm: Một khối phình động mạch chủ bụng dưới thận rất lớn, đường kính gần 9 cm, kéo dài đến tận động mạch chậu gốc hai bên và đã có dấu hiệu nứt vỡ; đồng thời, phát hiện dày thành đại tràng sigma trực tràng thâm nhiễm, nghi ngờ ung thư đại trực tràng.
Phình động mạch chủ bụng được giới chuyên môn ví là “quả bom hẹn giờ” trong cơ thể. Động mạch chủ là mạch máu lớn nhất, khi túi phình dọa vỡ, nguy cơ xảy ra sự cố là rất cao. Nếu túi phình vỡ, máu sẽ phun ồ ạt gây sốc mất máu cấp tính, dẫn đến tỷ lệ tử vong lên đến 80 - 90%. Hơn nữa, sự kết hợp đồng thời của AAA và ung thư đại trực tràng là vô cùng hiếm gặp (chỉ khoảng 0.2 - 2% các ca bệnh), tạo ra thách thức lớn đối với đội ngũ y bác sĩ.
Trước tiên lượng bệnh nhân rất nặng, nguy cơ tử vong cao, một hội chẩn liên khoa khẩn cấp đã được tổ chức với sự tham gia của các chuyên gia Tim mạch can thiệp, Ngoại tổng hợp và Gây mê hồi sức. Bệnh nhân được chỉ định mổ cấp cứu.
Theo BS. Hoàng Việt Dũng - Trưởng khoa Ngoại tổng hợp, người trực tiếp phẫu thuật: Đây là hai đại phẫu lớn, đòi hỏi kỹ thuật cao. Phẫu thuật thay đoạn động mạch chủ yêu cầu điều kiện vô trùng tuyệt đối, trong khi phẫu thuật cắt bỏ khối u đại tràng lại có nguy cơ nhiễm khuẩn cao. Việc phải thực hiện đồng thời đặt ra một bài toán khó khăn.

Cuộc phẫu thuật kéo dài gần 5 tiếng đồng hồ. Khi mở ra, khối phình động mạch chủ rất lớn đã nứt vỡ và được đại tràng ngang, ruột non bọc lại gây dính toàn bộ, đồng thời khối u ở đại tràng sigma - trực tràng cũng rất to, thâm nhiễm và dính vào động mạch chậu hai bên.
Dưới sự chỉ huy của BS Dũng, ê-kíp đã quyết định mổ đồng thời: Thay đoạn động mạch chủ bụng - động mạch chậu hai bên bằng đoạn mạch nhân tạo trước, khâu che phủ phúc mạc cẩn thận, sau đó mới tiến hành cắt đoạn đại trực tràng mang u và nối ngay.
Sau thành công ca mổ, tình trạng huyết động của bệnh nhân ổn định, các chỉ số xét nghiệm máu trong giới hạn bình thường. Bệnh nhân trung tiện sau 3 ngày. Sau 11 ngày, ông Dương Văn B đã có thể đi lại và ăn uống bình thường, động mạch ghép lưu thông tốt, không có dấu hiệu thiếu máu chi dưới, và kết quả giải phẫu bệnh xác định là ung thư đại tràng. Thành công của ca mổ phức tạp này không chỉ nhờ chuyên môn sâu và kinh nghiệm của đội ngũ y bác sĩ, mà còn là sự phối hợp chặt chẽ giữa các chuyên khoa Ngoại, Gây mê và Hồi sức.
Từ trường hợp trên, BS Dũng cũng khuyến cáo: Phình động mạch chủ bụng thường gặp ở người cao tuổi có tiền sử hút thuốc, cao huyết áp, trong khi Ung thư đại trực tràng ngày càng trẻ hóa. Vì vậy, những người có nguy cơ cần đi khám bệnh định kỳ bằng siêu âm ổ bụng và nội soi đại trực tràng để sàng lọc, phát hiện bệnh sớm.
Đối với các trường hợp phình động mạch chủ, cần kiểm soát huyết áp và cholesterol, đồng thời can thiệp chủ động bằng đặt stent graft hoặc phẫu thuật khi kích thước khối phồng trên 5cm để ngăn chặn nguy cơ vỡ, bảo vệ tính mạng.













